Повторное введение вакцины улучшает иммунную память благодаря тому, что при этом запускается новый этап эволюции В-клеток, совершенствующих антитела против инфекции.
При иммунизации нам вводят ослабленных или убитых возбудителей какой-то инфекционной болезни, или их токсины, или какие-то другие молекулы-антигены (например, белки или полисахаридные молекулы клеточных стенок бактерий). Вакцина стимулирует иммунный ответ, иммунная система запоминает «портрет» патогена, и, если настоящая инфекция попадёт в организм, иммунитет будет знать, как с ней бороться.
Часто после первого введения вакцины делают ещё и второе – в этом случае говорят о ревакцинации или реиммунизации. Действительно, повторное введение антигена делает иммунный ответ сильнее, что обеспечивает более эффективную защиту от болезни – вакцина работает дольше. Однако почему так происходит, стало понятно только сейчас, после исследований Луизы и Майкла Макхайзер-Уильямсов (Louise, Michael McHeyzer-Williams) и их коллег из Института Скриппса (США) – в статье в Nature Immunology они описывают, как В-клетки оттачивают мастерство на новых порциях антигена. Когда вирус, или бактерия, или инфекционный грибок попадают в организм, В-лимфоциты начинают вырабатывать против них антитела, связывающиеся с патогеном и помогающие его уничтожить. Одновременно часть В-клеток отправляется в лимфатические узлы, где формируются герминативные центры – особые «стойла» для хранения и размножения В-лимфоцитов.

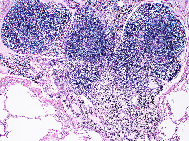
Внутрилёгочный лимфатический узел с герминативными центрами. (Фото Yale Rosen / Flickr.com.)
В герминативных центрах оседают клетки памяти, чья задача – узнавать даже ничтожные количества патогена, если он снова когда-нибудь появится. Распознавание вируса происходит с помощью белковых рецепторов на поверхности лимфоцитов. Эти рецепторы представляют собой те же антитела в комплексе с другими белками. Антитела могут быть разными, и, выставляя их из мембраны наружу, можно оценить, насколько крепко тот или иной вариант иммуноглобулинов связывает вирусный белок и, соответственно, годится ли такой иммуноглобулин для «серийного производства». В лимфатических узлах В-клетки клонируются, причём каждый клон получает случайную мутацию в рецептор. Большинство мутаций оказываются бесполезными, но попадаются среди них такие, которые усиливают взаимодействие рецептора с антигеном. Если рецептор, а значит, и антитела В-клетки оказываются достаточно эффективными при связывании чужеродной молекулы, В-лимфоцит покидает герминативный центр лимфатического узла и отправляется патрулировать организм.
Что же происходит при повторном введении вакцины? Одним раундом тренировки дело не ограничивается, и при ревакцинации в лимфатических узлах появляются вторичные герминативные центры, куда направляются В-лимфоциты, прошедшие отбор после первого введения антигена. Очередная порция чужеродных молекул запускает по новой программу клеточной эволюции: новые клоны получают новые мутации, причём специфичность антител может быть переделана. То есть смысл второго раунда настройки не столько в том, чтобы усовершенствовать имеющуюся модель иммуноглобулинов, не столько в том, чтобы новые антитела ещё крепче связывались с теми же участками вражеских молекул, сколько в том, чтобы сделать ответ на инфекцию более разнообразным. То есть на основе хороших антител, полученных после первой вакцины, создаются новые версии с несколько перестроенной специфичностью, которые могут, грубо говоря, хватать антиген за новые места. Можно сказать, что иммунитет здесь играет на опережение – ведь изменчивость вирусов и бактерий велика, и последовательности их молекул меняются довольно быстро. Эволюция В-клеток, которую запускает повторная вакцинация – это симметричный ответ на эволюцию патогенов.
Процессы, происходящие во вторичных герминативных центрах, весьма сложны, однако сложность здесь вполне оправдана, ведь в результате в иммунную память удаётся заложить одновременно точность и многообразие антительного ответа. Ну а если мы больше узнаем о процессах, которые тут происходят, то в перспективе сможем создать вакцины, которые будут дополнительно улучшать память В-клеток, делая иммунную защиту совсем уж непробиваемой.
Автор: Кирилл Стасевич
Источник: nkj.ru